ملبنات (رتبة)
(تم التحويل من Lactobacillales)
| الملبنات Lactobacillales | |
|---|---|
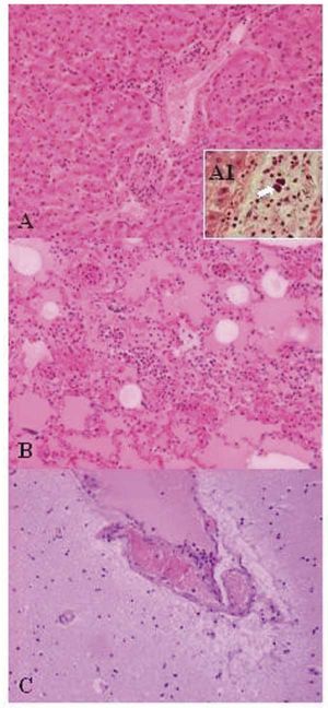
| Lesions of Weissella confusa في قرد منى (hematoxylin وصبغة eosin): A) كبد: portal triads مع neutrophilic infiltration (x10); A1, تواجد صمات emboli جرثومية داخل الوريد (سهم) (x40). B) التهاب رئوي حاد: وذمة واحتقان ونضح خلايا الدم البيضاء في الحويصلات الهوائية (x10). C) encephalitis: احتقان وmarginalized neutrophils في الأوعية العصبية (x10) | |
| التصنيف العلمي | |
| مملكة: | |
| Division: | |
| Class: | |
| Order: | ملبنات Lactobacillales
|
| الفصائل | |
|
Aerococcaceae | |
الملبنات Lactobacillales هي رتبة جراثيم إيجابية الگرام تتضمن بكتريا حمض اللبنيك. وهم منتشرون في الطبيعة، ويوجدوا في التربة والماء والنبات والحيوان. ويستعملوا على نطاق واسع في انتاج الأغذية المخمرة، بما فيها منتجات الألبان مثل الزبادي والجبن والزبد والقشدة واللبن الرائب. وهم أيضاً مسؤولون عن عملية malolactic fermentation في صناعة النبيذ، وتخمير الكرنب المملح ليصبح ساور كراوت.
جنس جراثيم حمض اللبنيك
- Abiotrophia
- Aerococcus
- Carnobacterium
- Enterococcus
- Lactobacillus
- Lactococcus
- Leuconostoc
- Oenococcus
- Pediococcus
- Streptococcus
- Tetragenococcus
- Vagococcus
- Weissella
| هذا bacteria-related article هو بذرة. بإمكانك مساعدة المعرفة بأن تنمـِّـيـه. |