لمفومة

(تم التحويل من لمفوما)
لمفومة
Lymphoma
لمفومة جريبية حلت محل عقدة لمفاوية.
التخصصعلم أمراض الدم وعلم الأمراض
الأعراضتضخم العقد اللمفاومية، الحمى، التعرق، نقصان الوزن، الحكة، الشعور بالإرهاق[1][2]
عوامل الخطرڤيروس إپستاين-بار، أمراض المناعة الذاتية، الإيدز، تدخين التبغ[2][3]
الطريقة التشخيصيةLymph node biopsy[1][2]
العلاجالعلاج الكيماوي، العلاج الإشعاعي، العلاج الموجه، الجراحة[1][2]
Prognosisمتوسط البقاء لخمس سنوات 85% (الولايات المتحدة)[4]
التردد4.9 مليون (2015)[5]
الوفيات204.700 (2015)[6]

الورم اللمفي أو سرطان الغدد اللمفاوية إنگليزية: Lymphoma هو مجموعة أورام خلايا الدم التي تنشأ من (الخلايا اللمفاوية)[7] الموجودة في الجهاز اللمفاوي حيث تشكل هذه الخلايا ما يعرف بالشبكة البطانية، وكثيرًا ما يشير هذا الاسم إلى الأنواع السرطانية من هذه الأورام.[7] وتشمل العلامات والأعراض المُصاحبة لهذا المرض، تضخم العقد الليمفاوية، والحمى، والتعرق الغزير خاصة بالليل، بالإضافة إلى فقدان الوزن، والحكة، والشعور بالتعب.[1][2] وعادة ما تكون الغدد الليمفاوية المتضخمة غير مؤلمة.[1][1][2]

هناك العشرات من الأنواع الفرعية من الأورام اللمفاوية،[8] ولكن النوعين الرئيسيين هما لمفومة هودجكين واللمفومة اللاهودجكينية والتي تُعد أكثر خطورة من لمفومة هودجكين.[9] تضم منظمة الصحة العالمية فئتين غيرهما من أنواع سرطان الغدد الليمفاوية: الورم النخاعي المتعدد والأمراض المناعية التكاثرية.[10] وحوالي 90٪ من الأورام اللمفاوية من نوع اللمفومة اللاهودجكينية،[9][11] ويُعتبر سرطان الغدد الليمفاوية وابيضاض الدم جزء من مجموعة أوسع من أورام الأنسجة المكونة للدم والنسيج الليمفاوي.[12]

هُناك عدة عوامل خطرة للمفومة هودجكين، وتشمل: العدوى بفيروس إبشتاين بار وتاريخ مرضي للأسرة من قبل.[1] أما عوامل الخطر للمفومة اللاهودجكينية فتشمل: أمراض المناعة الذاتية، وفيروس نقص المناعة البشرية/الإيدز، والأدوية المثبطة للمناعة، وبعض المبيدات الحشرية،[2] وقد يؤدي تناول كميات كبيرة من اللحوم الحمراء إلى زيادة خطر الإصابة بالمرض.[13][14]

وعادةً ما يكون التشخيص في حالة تضخم العقد اللمفاوية عن طريق أخذ خزعة من العقدة الليمفاوية المتضخمة،[1][2] وأيضًا عن طريق اختبارات الدم والبول وفحص نخاع العظم، وقد تكون مفيدة في التشخيص.[2] وغالبًا ما ينتشر سرطان الغدد الليمفاوية إلى الرئتين، وَالكبد، و/أو الدماغ.[1][2]

وقد يشمل العلاج واحدا أو أكثر من الإجراءات التالية: العلاج الكيميائي، العلاج الإشعاعي، والعلاج الموجه والجراحة،[1][2] وفي بعض الأورام اللمفاوية اللاهودجكينية، فإن زيادة كمية البروتين التي تنتجها خلايا الليمفوما تتسبب في جعل الدم سميكًا فيتم فصل البلازما لإزالة البروتين،[2][2] وتعتمد النتائج على نوع السرطان الليمفاوي وقابليته للشفاء. أما بالنسبة لمعدل البقاء على قيد الحياة فيصل إلى خمس سنوات في الولايات المتحدة ولجميع أنواع سرطان الغدد الليمفاوية هو 85٪،[4] في حين أن المعدل للورم اللاهودجكيني هو 69٪.[15] في عام 2012؛ أُصيب بالليمفوما 566،000 وتسببت في 305،000 حالة وفاة.[10] تشكّل الليمفوما 3-4٪ من جميع حالات السرطان، مما يجعلها المجموعة السابعة الأكثر شيوعًا.[10][16] بينما في الأطفال، هي السرطان الثالث الأكثر شيوعاً.[17] وفي كثير من الأحيان؛ تحدث في الدول المتقدمة أكثر من دول العالم النامي.[10]

أنواع اللمفوما

  1. هودجكين تصلب عقدي (الأكثر انتشارًا في البالغين).
  2. هودجكين مختلط الخلايا (الأكثر انتشارًا عند الأطفال).
  3. هودجكين غنية بالخلايا اللمفاوية (أفضل الأنواع).
  4. هودجكين فقيرة الخلايا اللمفاوية (الأسوأ والأخطر).
  1. لاهودجكنية في الخلايا اللمفية البائية B، نسبتها 85%
  2. لاهودجكنية في الخلايا اللمفية التائية T، نسبتها 15%[18]

أسباب اللمفوما وعوامل الخطورة

  • العمر - معظم الأورام اللمفاوية تصيب الأشخاص أكثر من 60 سنة.
  • العِرق - في الولايات المتحدة، الأمريكيون من أصل أفريقي والأميركيون الآسيويون يكونون أقل عرضة من الأميركيين البيض، كما أن المرض أكثر شيوعًا في دول العالم المتقدم.
  • المواد الكيميائية والإشعاعية - تم ربط بعض المواد الكيميائية المستخدمة في الزراعة مثل المبيدات الحشرية والبنزين، وكذلك التعرض للإشعاع النووي بالإصابة بالمرض، وأيضًا بعض صبغات الشعر خاصةً المُستخدَمة قبل عام 1980.
  • نقص المناعة - على سبيل المثال، الإصابة بفيروس نقص المناعة البشرية أو في زرع الأعضاء.
  • أمراض المناعة الذاتية، والتي يهاجم فيها الجهاز المناعي خلايا الجسم نفسه.
  • العدوى - بعض الالتهابات الفيروسية والبكتيرية تزيد من مخاطر الإصابة. مثل العدوى ببكتيريا هيليكوباكتر، أو فيروس إبشتاين بار (الفيروس الذي يسبب الحمى الغدية) والتهاب الكبد الفيروسي.
  • الوراثة - وجود تاريخ عائلي لسرطان الغدد الليمفاوية.[19]

الأعراض والعلامات

الغدد الليمفاوية الأكثر عرضة للإصابة بالسرطان

قد يظهر سرطان الغدد الليمفاوية مع بعض الأعراض غير المحددة. فإذا كانت الأعراض مستمرة، يجب الفحص والتقييم لتحديد الأسباب، ومن بينها سرطان الغدد الليمفاوية.

  • تورم الغدد الليمفاوية، هو العرض الرئيسي في سرطان الغدد الليمفاوية.[20][21]
  • أعراض من الصنف ب (الأعراض الجهازية)، يمكن أن تترافق مع كل من الليمفوما الهودجكينية واللاهودجكينية، وهي:
  1. حمى مجهولة السبب[20][21]
  2. تعرق ليلي[20][21]
  3. فقدان الوزن[20][21]

وأعراض أخرى:

التشخيص

الجهاز الليمفاوي وسرطان الغدد الليمفاوية

يتم التشخيص النهائي لسرطان الغدد الليمفاوية عن طريق أخذ خزعة من العقدة الليمفاوية، وهذا يعني الاستئصال الجزئي أو الكلي للعقدة الليمفاوية التي تم فحصها تحت المجهر.[22] هذا الفحص يكشف المظاهر التشريحية المرضية التي قد تشير إلى سرطان الغدد الليمفاوية. وبعد تشخيص سرطان الغدد الليمفاوية، يمكن تنفيذ مجموعة مختلفة من الاختبارات لتحديد الأنواع المختلفة من سرطان الغدد الليمفاوية. مثل: الاختبار المناعي وقياس التدفق الخلوي والتهجين الموضعي المتألق.

التصنيف

ليمفوما هودجكين موضحة باستخدام صبغة الهيماتوكسيلين والإيوسين

الليمفوما بالمعنى الضيق هي الأورام الخبيثة من الخلايا الليمفاوية، وهو نوع من خلايا الدم البيضاء التي تنتمي إلى كل من الليمف والدم.[23] لذا، الليمفوما واللوكيميا هي أورام الخلايا المكوّنة للدم والأنسجة الليمفاوية. يؤثر التصنيف على العلاج وعلى تقدم المرض، وقد وُجدت عدة أنظمة لتصنيف سرطان الغدد الليمفاوية، والتي تستخدم النتائج التشريحية لتقسيم سرطان الغدد الليمفاوية إلى فئات مختلفة. عادة ما يتم التصنيف وفقًا لما يلي:

  • ما إذا كان سرطان الغدد الليمفاوية من النوع هودجكين أم لا.
  • نشأ السرطان في الخلايا الليمفاوية من النوع B أو T.
  • موقع الخلايا السرطانية بالجسم.

ليمفوما هودجكين

سرطان الغدد الليمفاوية النوع هودجكين هو واحد من أكثر الأنواع المعروفة لسرطان الغدد الليمفاوية، ويختلف عن غيره من أشكال سرطان الغدد الليمفاوية في تقدم المرض والعديد من الخصائص المرضية. ويتميز هذا النوع بوجود نوع من الخلايا تسمى خلايا ريد-ستيرنبرغ.[24][25]

الأورام الليمفاوية لاهودجكين

الأورام اللمفاوية لاهودجكين، والتي تعرف بأنها كل الأورام اللمفاوية عدا ليمفوما هودجكين، وهي أكثر شيوعًا من النوع هودجكين. تضم هذه الفئة مجموعة واسعة من الأورام اللمفاوية، تختلف أسباب وأنواع الخلايا المصابة، وتقدم المرض باختلاف النوع. وتزيد احتمالات الإصابة بسرطان الغدد الليمفاوية لاهودجكين مع التقدم في السن. وتنقسم كذلك إلى عدة أنواع فرعية.

تصنيف منظمة الصحة العالمية

يستند تصنيف منظمة الصحة العالمية، والذي نُشر عام 2001 وجرى تحديثه في عام 2008،[26][27] على الأسس التي وُضعت ضمن "التصنيف الأوروبي الأمريكي لسرطان الغدد الليمفاوية" (REAL). يصنّف هذا النظام الليمفوما حسب نوع الخلايا والمظهر المحدّد، أو الخصائص الوراثية الخلوية.

بعض أنواع سرطان الغدد الليمفاوية بطيئة؛ أي أنها متوافقة مع حياة طويلة حتى بدون علاج، في حين أن هناك أشكال أخرى عدوانية (مثل لمفوما بيركيت)، تتسبب في التدهور السريع والموت. لكن بشكل عام معظم الأورام اللمفاوية حتى العدوانية تستجيب جيدًا للعلاج وقابلة للشفاء. يعتمد تقدم المرض على التشخيص وتصنيف المرض الصحيحين.[28]

تصنيفات قديمة

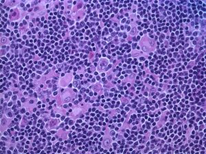
سرطان الغدد الليمفاوية، لاحظ المعالم غير المنتظمة للنواة كما تُظهر الخلايا CD5 ،CD20 والسيكلين D1 بصبغة الهيماتوكسيلين والإيوسين

اُستخدمت العديد من التصنيفات السابقة، بما في ذلك رابابورت 1956، كييل 1974، وREAL 1994. وكانت تلك التصنيفات تستبعد لمفوما هودجكين وتقسم الأورام اللمفاوية المتبقية إلى أربع درجات (منخفضة، متوسطة، عالية، والمتنوعة) اعتمادًا على تقدم المرض، مع بعض التقسيمات الفرعية على أساس حجم وشكل الخلايا المصابة. ولكن لم تشمل هذه التصنيفات أي معلومات حول علامات سطح الخلية، أو علم الوراثة، ولم تضع أي تمييز بين الأورام اللمفاوية في الخلايا T والأورام اللمفاوية في الخلايا B. كانت من قبل مقبولة على نطاق واسع، أما الآن فلم تعد تُستخدم. إلا من قِبل بعض وكالات السرطان لجمع الإحصاءات عن سرطان الغدد الليمفاوية والمقارنات التاريخية.[29]

مراحل المرض

بعد التشخيص وقبل العلاج، يجب معرفة مرحلة المرض والتي تحدد ما إذا كان السرطان لازال في مكانٍ محدد أم انتشر إلى أماكن بعيدة.

يتم استخدام نظام التصنيف آن أربور بشكل روتيني لتنظيم كل من ليمفوما هودجكينية ولاهودجكينية. في هذا النظام المتدرج، تمثل المرحلة الأولى أن المرض محددًا في واحدة من العقد الليمفاوية، والثانية تمثل وجود سرطان الغدد الليمفاوية في اثنين أو أكثر من الغدد الليمفاوية، والثالثة تمثل انتشار سرطان الغدد الليمفاوية على جانبي الحجاب الحاجز، والرابعة تشير إلى انتشار المرض للأنسجة الأخرى غير العقد الليمفاوية.

تُستخدم الأشعة المقطعية أو التصوير بالمسح الضوئي PET لتحديد مرحلة السرطان.[30]

العلاج

يختلف العلاج باختلاف أنواع سرطان الغدد الليمفاوية،[31] ويعتمد أيضًا على درجة الورم، إشارةً إلى سرعة تكاثره، وعلى عكس المتوقع؛ الليمفوما الأعلى درجة يتم علاجها بسهولة أكبر ويكون تقدم المرض أفضل: مثل ليمفوما بيركيت وهو ورم عالي الدرجة معروف أنه يتضاعف في غضون أيام، رغم ذلك استجابته جيدة للغاية للعلاج. الأورام اللمفاوية تكون قابل للشفاء إذا تم اكتشافها في مراحل مبكرة مع توافر طرق العلاج الحديثة.

الليمفوما منخفضة الدرجة

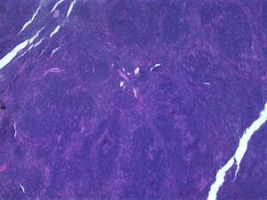
سرطان الغدد الليمفاوية هودجكين، النوع الذي تسود فيه الخلايا الليمفاوية العقدية. لاحظ تكوين العقد الليمفاوية ومناطق التبقيع (صبغة الهيماتوكسيلين والإيوسين)

تظل العديد من الأورام اللمفاوية منخفضة الدرجة بطيئة لسنوات عديدة. وغالبًا ما نتجنب العلاج للمريض الذي لاتظهر عليه أعراض، نكتفي فقط بالانتظار والمتابعة. وذلك لأن الأضرار والمخاطر الناتجة عن العلاج تفوق الفوائد.[32] أما عند ظهور الأعراض فيكون العلاج الإشعاعي أو العلاج الكيميائي هما الاختيار؛ على الرغم من أنها ليست علاج نهائي لسرطان الغدد الليمفاوية، وإنما يمكن أن تخفف الأعراض، لا سيما تضخم العقد اللمفاوية. المرضى الذين يعانون من هذه الأنواع من سرطان الغدد الليمفاوية يمكن أن يعيشوا أعمارًا شبه طبيعية، ولكن بدون شفاء من المرض. هناك دعوات لاستخدام ريتوكسيماب في علاج سرطان الغدد الليمفاوية بدلا من الانتظار والمتابعة تجنبًا للقلق الشديد لدى المرضى.[33]

الليمفوما عالية الدرجة

توضيح للأماكن الأكثر عرضة لانتشار سرطان الغدد الليمفاوية: المخ والكبد والعظام.

يمكن أيضًا علاج بعض الأنواع الأخرى الأكثر شراسة في معظم الحالات، ولكن تدهور الحالة للمرضى ضعيفي الاستجابة للعلاج يكون سريعًا وسيئًا جدا[34]، لذا يكون العلاج عادةً علاج كيميائي أقوى، بما في ذلك CHOP أو R-CHOP. تحدث معظم حالات الانتكاس في العامين الأولين، ثم يقل خطر الانتكاس بشكل ملحوظ بعد ذلك. وفي هذه الحالة[35] يكون العلاج الكيميائي بجرعة عالية يليه زرع ذاتي للخلايا الجذعية.[36]

علاج ليمفوما هودجكين

سرطان الغدد الليمفاوية، النوع الذي تسود فيه الخلايا الليمفاوية: لاحظ وجود خلايا L & H، التي تعرف أيضا باسم "خلايا الفشار". (صبغة الهيماتوكسيلين والإيوسين)

عادة ما يتم علاج ليمفوما هودجكين بالعلاج الإشعاعي وحده، طالما لم ينتشر السرطان.[37]

بينما مرض هودجكين المتقدم يتطلب نظامًا من العلاج الكيميائي، مترافقًا مع العلاج الإشعاعي في بعض الأحيان[38]. ويشمل العلاج الكيميائي المستخدم: نظام أيه بي في دي (علاج)، والذي يُستخدم عادة في الولايات المتحدة. ومن النظم الأخرى المستخدمة في علاج ليمفوما هودجكين BEACOPP وكلاهما نُظُم فعّآلة، ولكن BEACOPP يكون أكثر سُميّة إلى جانب استعمال السنانفورد V. لايزال من الممكن إنقاذ عدد كبير من الناس الذين ينتكسون بعد نظام ABVD عن طريق زرع الخلايا الجذعية.[39]

الرعاية المسكّنة

الرعاية المسكّنة، هي رعاية طبية متخصصة تركز على الأعراض، والآلام، والقلق الناتج عن الإصابة بمرض خطير،[40][41] فهي مفيدة لمعالجة كل من الأعراض المباشرة لسرطان الغدد الليمفاوية والعديد من الآثار الجانبية التي تنشأ من العلاج.[42][42][43][44][45][46] تكون مفيدة بشكل خاص للأطفال، حيث تساعد كل من الأطفال وعائلاتهم على التعامل مع الأعراض الجسدية والنفسية لهذا المرض. وأيضًا لها أهمية خاصة للمرضى الذين يحتاجون زرع نخاع العظام.[47][48]

تقدُّم المرض

معدل البقاء على قيد الحياة لمدة خمس سنوات وِفقًا للمرحلة التشخيصية[49]
المرحلة التشخيصية معدل البقاء على قيد الحياة لمدة خمس سنوات (%) النسبة المئوية للحالات (%)
محدد في الموقع الأوّلي للسرطان 82.3 26
انتشر إلى العقد الليمفاوية في المكان 78.3 19
انتشر إلى أماكن بعيدة 62.7 47
غير معروف 68.6 8

علم الأوبئة

معدل الوفيات بسبب الأورام الليمفاوية والمايلوما المتعددة لكل 100000 نسمة في عام 2004 [50]
██ لايوجد معلومات ██ أقل من 1.8 ██ 1.8–3.6 ██ 3.6–5.4 ██ 5.4–7.2 ██ 7.2–9 ██ 9–10.8 ██ 10.8–12.6 ██ 12.6–14.4 ██ 14.4–16.2 ██ 16.2–18 ██ 18–19.8 ██ أكثر من 19.8

اللمفوما هي النوع الأكثر شيوعاً بين الأورام الدموية الخبيثة أو سرطان الدم في العالم المتقدّم. الورم اللمفي يشكّل 5.3% من جميع أنواع السرطان في الولايات المتحدة و55.6% من جميع أنواع سرطان الدم.[51]

وفقا للمعهد القومي الأمريكي للصحة، تشكل الأورام اللمفاوية 5٪، وسرطان الغدد الليمفاوية هودجكين أقل من 1٪ من جميع حالات السرطان في الولايات المتحدة.

ولأن الجهاز الليمفاوي هو جزء من نظام المناعة في الجسم، فإن المرضى الذين يعانون من ضعف في الجهاز المناعي مثل عدوى فيروس نقص المناعة البشرية أو بعض الأدوية التي تثبط المناعة لذا فعدد حالات سرطان الغدد الليمفاوية في ازدياد.[52]

التاريخ

نشر توماس هودجكين أول وصف لسرطان الغدد الليمفاوية في عام 1832، وسُمّي المرض باسمه.[53] ومنذ ذلك الحين، وُصفت العديد من الأشكال الأخرى من سرطان الغدد الليمفاوية.

الأبحاث

تركز الأبحاث على أفضل السُّبُل والوسائل الفعّآلة للعلاج، وتحسين حياة المرضى، أو الرعاية المناسبة بعد العلاج.[54]

وتقوم الدراسات الأساسية حول عملية المرض وكيفية تغيُّر الحمض النووي داخل خلايا سرطان الغدد الليمفاوية كلّما تقدم المرض. أما النتائج من الدراسات البحثية الأساسية فعادةً ما تكون أقل فائدة مباشرة للمرضى الذين يعانون من هذا المرض،[55] ولكن تساعد في تحسين فهم العلماء لسرطان الغدد الليمفاوية، وتشكل الأساس في المستقبل ولعلاجات أكثر فعالية.

ثدي صناعي من مادة السليكون.

في 5 أبريل 2019 أصبحت فرنسا أول دولة تحظر نزعاً من عمليات زراعة الثدي ثبت ارتباطه بسرطان الغدد اللمفاوية. ويشمل الحظر عدة نماذج من الأثداء الصناعية ذات السطح النسيجي، وينتجها ستة مصنعين.

ويُعتقد أن حوالي 70 ألف امرأة حصلن عل أثداء من هذا النوع، من إجمالي 400 ألف امرأة خضعن لعمليات زراعة الثدي في فرنسا. واعتبرت الوكالة الوطنية للأدوية والمنتجات الصحية في بيان لها أن الحظر كان إجراء وقائياً، اتُخذ في ضوء الخطر النادر، لكن الخطير الذي يشكله هذا النوع من العمليات. وأضافت الوكالة أنها سجلت 59 حالة إصابة بالسرطان بين الفرنسيات اللاتي خضعن لزراعة الثدي، توفيت منهن ثلاث حالات. ولاحظت الوكالة أن الزيادة الخطيرة في حالات سرطان الغدد الليمفاوية كانت مرتبطة بعمليات زراعة الثدي منذ عام 2011.[56]

ومع ذلك، لم توصِ الوكالة النساء اللواتي أجرين عمليات زرع الثدي، بإجراء عمليات جراحية لإزالته، وذلك لنُدرة الخطر. وأعلنت كندا في 5 أبريل من العام نفسه، سعيها إلى تعليق هذا النوع من العمليات أيضاً. وقالت وزارة الصحة الكندية إنه إجراء احترازي عقب ارتفاع حالات الإصابة بسرطان الغدد الليمفاوية. ولاحظت الوكالة أن 28 حالة في كندا، من أصل 457 حالة إصابة بسرطان الغدد الليمفاوية كانت مرتبطة بمن خضعن لعمليات زراعة الثدي، وفقًا لإحصائيات وكالة الغذاء والدواء الأمريكية.

انظر أيضاً

المصادر

  1. ^ أ ب ت ث ج ح خ د ذ ر {{cite web}}: Empty citation (help)
  2. ^ أ ب ت ث ج ح خ د ذ ر ز س ش {{cite web}}: Empty citation (help)
  3. ^ خطأ استشهاد: وسم <ref> غير صحيح؛ لا نص تم توفيره للمراجع المسماة Kam2013
  4. ^ أ ب {{cite web}}: Empty citation (help)
  5. ^ GBD 2015 Disease and Injury Incidence and Prevalence, Collaborators. (8 October 2016). "Global, regional, and national incidence, prevalence, and years lived with disability for 310 diseases and injuries, 1990-2015: a systematic analysis for the Global Burden of Disease Study 2015". Lancet. 388 (10053): 1545–1602. doi:10.1016/S0140-6736(16)31678-6. PMC 5055577. PMID 27733282. {{cite journal}}: |first1= has generic name (help)CS1 maint: numeric names: authors list (link)
  6. ^ GBD 2015 Mortality and Causes of Death, Collaborators. (8 October 2016). "Global, regional, and national life expectancy, all-cause mortality, and cause-specific mortality for 249 causes of death, 1980-2015: a systematic analysis for the Global Burden of Disease Study 2015". Lancet. 388 (10053): 1459–1544. doi:10.1016/s0140-6736(16)31012-1. PMC 5388903. PMID 27733281. {{cite journal}}: |first1= has generic name (help)CS1 maint: numeric names: authors list (link)
  7. ^ أ ب Taylor, Elizabeth J. Dorland's Illustrated medical dictionary. Philadelphia: Saunders. p. 1038. {{cite book}}: Cite has empty unknown parameters: |lay-date=, |subscription=, |nopp=, |last-author-amp=, |name-list-format=, |lay-source=, |registration=, and |lay-summary= (help)
  8. ^ Johns Hopkins Patients' Guide to Lymphoma. Jones & Bartlett Learning. p. 6. {{cite book}}: Cite has empty unknown parameters: |lay-date=, |subscription=, |nopp=, |last-author-amp=, |name-list-format=, |lay-source=, |registration=, and |lay-summary= (help)
  9. ^ أ ب The Lymphoma Guide Information for Patients and Caregivers (pdf). {{cite book}}: |format= requires |url= (help); Cite has empty unknown parameters: |lay-date=, |subscription=, |nopp=, |last-author-amp=, |name-list-format=, |lay-source=, |registration=, and |lay-summary= (help)
  10. ^ أ ب ت ث World Cancer Report 2014. World Health Organization. pp. Chapter 5.13. {{cite book}}: Cite has empty unknown parameters: |lay-date=, |subscription=, |nopp=, |last-author-amp=, |name-list-format=, |lay-source=, |registration=, and |lay-summary= (help)
  11. ^ {{cite web}}: Empty citation (help)
  12. ^ Vardiman JW, Thiele J, Arber DA, Brunning RD, Borowitz MJ, Porwit A, Harris NL, Le Beau MM, Hellström-Lindberg E, Tefferi A, Bloomfield CD. Blood. 114 (5). doi:10.1182/blood-2009-03-209262. PMID 19357394. {{cite journal}}: Missing or empty |title= (help); Unknown parameter |التاريخ= ignored (help); Unknown parameter |الصفحات= ignored (help); Unknown parameter |العنوان= ignored (help)
  13. ^ Medicine. 94 (45). PMID 26559248. {{cite journal}}: Missing or empty |title= (help); Unknown parameter |الأخير1= ignored (help); Unknown parameter |الأخير2= ignored (help); Unknown parameter |الأخير3= ignored (help); Unknown parameter |الأخير4= ignored (help); Unknown parameter |الأخير5= ignored (help); Unknown parameter |الأول1= ignored (help); Unknown parameter |الأول2= ignored (help); Unknown parameter |الأول3= ignored (help); Unknown parameter |الأول4= ignored (help); Unknown parameter |الأول5= ignored (help); Unknown parameter |التاريخ= ignored (help); Unknown parameter |الصفحات= ignored (help); Unknown parameter |العنوان= ignored (help)
  14. ^ Cancer causes & control : CCC. 27 (5). PMID 27076059. {{cite journal}}: Missing or empty |title= (help); Unknown parameter |الأخير1= ignored (help); Unknown parameter |الأخير2= ignored (help); Unknown parameter |الأخير3= ignored (help); Unknown parameter |الأخير4= ignored (help); Unknown parameter |الأول1= ignored (help); Unknown parameter |الأول2= ignored (help); Unknown parameter |الأول3= ignored (help); Unknown parameter |الأول4= ignored (help); Unknown parameter |التاريخ= ignored (help); Unknown parameter |الصفحات= ignored (help); Unknown parameter |العنوان= ignored (help)
  15. ^ {{cite web}}: Empty citation (help)
  16. ^ Marcus, Robert. Lymphoma : pathology, diagnosis and treatment. p. 1. {{cite book}}: Cite has empty unknown parameters: |lay-date=, |subscription=, |nopp=, |last-author-amp=, |name-list-format=, |lay-source=, |registration=, and |lay-summary= (help)
  17. ^ Tepper, John E. Niederhuber, James O. Armitage, James H. Doroshow, Michael B. Kastan, Joel E. Abeloff's clinical oncology. p. Chapter 97. {{cite book}}: Cite has empty unknown parameters: |lay-date=, |subscription=, |nopp=, |last-author-amp=, |name-list-format=, |lay-source=, |registration=, and |lay-summary= (help)CS1 maint: multiple names: authors list (link)
  18. ^ {{cite web}}: Empty citation (help)
  19. ^ {{cite web}}: Empty citation (help)
  20. ^ أ ب ت ث ج ح {{cite web}}: Empty citation (help)
  21. ^ أ ب ت ث ج ح خ د {{cite web}}: Empty citation (help)
  22. ^ {{cite web}}: Empty citation (help)
  23. ^ . 
  24. ^ National Cancer Institute, "Hodgkin Lymphoma", http://www.cancer.gov/cancertopics/types/hodgkin, accessed on 2013-08-05
  25. ^ National Cancer Institute. "What You Need To Know About Hodgkin Lymphoma". U.S. Dept of Health and Human Services, (online at http://www.cancer.gov/cancertopics/wyntk/hodgkin.pdf), pg 4.
  26. ^ Harris, NL; Vardiman, JW; Campo, E; Arber, DA. (2011). Hematopathology. Elsevier Saunders. {{cite book}}: Cite has empty unknown parameters: |lay-date=, |subscription=, |nopp=, |last-author-amp=, |name-list-format=, |lay-source=, |registration=, and |lay-summary= (help); Missing |author1= (help)
  27. ^ Swerdlow, Steven H. (2008). WHO classification of tumours of haematopoietic and lymphoid tissues. International Agency for Research on Cancer. {{cite book}}: Cite has empty unknown parameters: |lay-date=, |subscription=, |nopp=, |last-author-amp=, |name-list-format=, |lay-source=, |registration=, and |lay-summary= (help)
  28. ^ Wagman LD. (2008). Cancer Management: A Multidisciplinary Approach. CMPMedica. {{cite book}}: Cite has empty unknown parameters: |lay-date=, |subscription=, |nopp=, |last-author-amp=, |name-list-format=, |lay-source=, |registration=, and |lay-summary= (help)
  29. ^ Clarke CA, Glaser SL, Dorfman RF, Bracci PM, Eberle E, Holly EA. Cancer Epidemiol. Bio-markers Prev. 13 (1). doi:10.1158/1055-9965.EPI-03-0250. PMID 14744745. {{cite journal}}: Cite has empty unknown parameter: |المسار= (help); Missing or empty |title= (help); Unknown parameter |التاريخ= ignored (help); Unknown parameter |الصفحات= ignored (help); Unknown parameter |العنوان= ignored (help)
  30. ^ International Prognostic Index N Engl J Med. 1993;329(14):987–94
  31. ^ Oncology (Williston Park, N.Y.). 23 (12). PMID 20017283. {{cite journal}}: Missing or empty |title= (help); Unknown parameter |التاريخ= ignored (help); Unknown parameter |الصفحات= ignored (help); Unknown parameter |العنوان= ignored (help); Unknown parameter |المؤلف= ignored (help)
  32. ^ Oncol Nurs Forum. 35 (3). doi:10.1188/08.ONF.449-454. PMID 18467294. {{cite journal}}: Missing or empty |title= (help); Unknown parameter |التاريخ= ignored (help); Unknown parameter |الصفحات= ignored (help); Unknown parameter |العنوان= ignored (help); Unknown parameter |المؤلف= ignored (help)
  33. ^ The Lancet Oncology. 15 (4). doi:10.1016/S1470-2045(14)70066-X. PMID 24602759. {{cite journal}}: Missing or empty |title= (help); Unknown parameter |السنة= ignored (help); Unknown parameter |الصفحات= ignored (help); Unknown parameter |العنوان= ignored (help); Unknown parameter |المؤلف= ignored (help)
  34. ^ Hematology Am Soc Hematol Educ Program. 2009. doi:10.1182/asheducation-2009.1.532. PMID 20008238. {{cite journal}}: Missing or empty |title= (help); Unknown parameter |الأخير2= ignored (help); Unknown parameter |السنة= ignored (help); Unknown parameter |الصفحات= ignored (help); Unknown parameter |العنوان= ignored (help); Unknown parameter |المؤلف= ignored (help)
  35. ^ Stain technology. 47 (1). doi:10.3109/10520297209116530. PMID 4550425. {{cite journal}}: Missing or empty |title= (help); Unknown parameter |التاريخ= ignored (help); Unknown parameter |الصفحات= ignored (help); Unknown parameter |العنوان= ignored (help); Unknown parameter |المؤلف= ignored (help)
  36. ^ Philip T, Guglielmi C, Hagenbeek A, Somers R, Van der Lelie H, Bron D, Sonneveld P, Gisselbrecht C, Cahn JY, Harousseau JL. The New England Journal of Medicine. 333 (23). doi:10.1056/nejm199512073332305. PMID 7477169. {{cite journal}}: Missing or empty |title= (help); Unknown parameter |التاريخ= ignored (help); Unknown parameter |الصفحات= ignored (help); Unknown parameter |العنوان= ignored (help)
  37. ^ Leuk. Lymphoma. 50 (11). doi:10.3109/10428190903186510. PMID 19883306. {{cite journal}}: Missing or empty |title= (help); Unknown parameter |الأخير2= ignored (help); Unknown parameter |التاريخ= ignored (help); Unknown parameter |الصفحات= ignored (help); Unknown parameter |العنوان= ignored (help); Unknown parameter |المؤلف= ignored (help)
  38. ^ Hematology Am Soc Hematol Educ Program. 2009. doi:10.1182/asheducation-2009.1.497. PMID 20008235. {{cite journal}}: Missing or empty |title= (help); Unknown parameter |السنة= ignored (help); Unknown parameter |الصفحات= ignored (help); Unknown parameter |العنوان= ignored (help); Unknown parameter |المؤلف= ignored (help)
  39. ^ New England Journal of Medicine. 365 (3). doi:10.1056/NEJMoa1100340. PMID 21774708. {{cite journal}}: Missing or empty |title= (help); Unknown parameter |السنة= ignored (help); Unknown parameter |الصفحات= ignored (help); Unknown parameter |العنوان= ignored (help); Unknown parameter |المؤلف= ignored (help)
  40. ^ Ferrell B, Connor SR, Cordes A, Dahlin CM, Fine PG, Hutton N, Leenay M, Lentz J, Person JL, Meier DE, Zuroski K. J Pain Symptom Manage. 33 (6). doi:10.1016/j.jpainsymman.2007.02.024. PMID 17531914. {{cite journal}}: Missing or empty |title= (help); Unknown parameter |السنة= ignored (help); Unknown parameter |الصفحات= ignored (help); Unknown parameter |العنوان= ignored (help); Unknown parameter |المسار= ignored (help)
  41. ^ *The American Society of Clinical Oncology made this recommendation based on various cancers. See  
  42. ^ أ ب Cancer J. 16 (5). doi:10.1097/PPO.0b013e3181f684e5. PMID 20890138. {{cite journal}}: Missing or empty |title= (help); Unknown parameter |الأخير2= ignored (help); Unknown parameter |السنة= ignored (help); Unknown parameter |الصفحات= ignored (help); Unknown parameter |العنوان= ignored (help); Unknown parameter |المؤلف= ignored (help); Unknown parameter |المسار= ignored (help)
  43. ^ {{cite web}}: Empty citation (help)
  44. ^ Heath JA, Clarke NE, Donath SM, McCarthy M, Anderson VA, Wolfe J. Med J Aust. 192 (2). PMID 20078405. {{cite journal}}: Missing or empty |title= (help); Unknown parameter |السنة= ignored (help); Unknown parameter |الصفحات= ignored (help); Unknown parameter |العنوان= ignored (help); Unknown parameter |المسار= ignored (help)
  45. ^ Schmidt P, Otto M, Hechler T, Metzing S, Wolfe J, Zernikow B. J Palliat Med. 16 (9). doi:10.1089/jpm.2013.0014. PMID 23901834. {{cite journal}}: Missing or empty |title= (help); Unknown parameter |السنة= ignored (help); Unknown parameter |الصفحات= ignored (help); Unknown parameter |العنوان= ignored (help); Unknown parameter |المسار= ignored (help)
  46. ^ Tang ST, Chang WC, Chen JS, Wang HM, Shen WC, Li CY, Liao YC. Psychooncology. 22 (6). doi:10.1002/pon.3141. PMID 22836818. {{cite journal}}: Missing or empty |title= (help); Unknown parameter |السنة= ignored (help); Unknown parameter |الصفحات= ignored (help); Unknown parameter |العنوان= ignored (help); Unknown parameter |المسار= ignored (help)
  47. ^ Bone Marrow Transplant. 43 (4). doi:10.1038/bmt.2008.436. PMID 19151797. {{cite journal}}: Missing or empty |title= (help); Unknown parameter |الأخير2= ignored (help); Unknown parameter |الأخير3= ignored (help); Unknown parameter |السنة= ignored (help); Unknown parameter |الصفحات= ignored (help); Unknown parameter |العنوان= ignored (help); Unknown parameter |المؤلف= ignored (help); Unknown parameter |المسار= ignored (help)
  48. ^ {{cite web}}: Empty citation (help)
  49. ^ {{cite web}}: Empty citation (help)
  50. ^ {{cite web}}: Empty citation (help)
  51. ^ {{cite web}}: Empty citation (help)
  52. ^ Tran H, Nourse J, Hall S, Green M, Griffiths L, Gandhi MK. Blood Reviews. 22 (5). doi:10.1016/j.blre.2008.03.009. PMID 18456377. {{cite journal}}: Missing or empty |title= (help); Unknown parameter |التاريخ= ignored (help); Unknown parameter |الصفحات= ignored (help); Unknown parameter |العنوان= ignored (help)
  53. ^ Hodgkin's Disease. Chapter 1: Lippincott Williams & Wilkins. 1999. p. 5. {{cite book}}: Cite has empty unknown parameters: |lay-date=, |subscription=, |nopp=, |last-author-amp=, |name-list-format=, |lay-source=, |registration=, and |lay-summary= (help)CS1 maint: location (link)
  54. ^ {{cite web}}: Empty citation (help)
  55. ^ {{cite web}}: Empty citation (help)
  56. ^ "لماذا بادرت فرنسا بحظر أحد أنواع زراعة الثدي؟". بي بي سي. 2019-04-05. Retrieved 2019-04-07.

وصلات خارجية

هذه بذرة مقالة عن العلوم الطبية تحتاج للنمو والتحسين، فساهم في إثرائها بالمشاركة في تحريرها.