كيسة جلدية
| الكيسة الجلدية | |
|---|---|
| كيسة جلدية ملتهبة على العنق. | |
| التخصص | طب الجلد |

الكيسة الجلدية (إنگليزية: epidermoid cyst،[1] هي كيسة حميدة تتواجد عادة على الجلد. تنمو الكيسة إلى نسيج الأديم الظاهر. نسيجياً، تتكون الكيسة الجلدية من طبقة رقيقة من الخلايا الظهارية.
العلامات والأعراض
قد لا تظهر أعراض على الكيسة الجلدية، أو قد تكون مؤلمة عند لمسها. يمكن أن تطلق الكيراتين المتبلل. على عكس كيسة الشعيرات، عادة ما توجد الأكياس الجلدية في أجزاء من الجسم ذات شعر قليل نسبيًا.[2] الكيس الجلدي هو أحد أنواع الأكياس المهبلية.[3]
على الرغم من أنها ليست خبيثة، إلا أن هناك حالات نادرة من الأورام الخبيثة التي تنشأ من الكيسة الجلدية.[4] تمثل الأكياس الجلدية ما يقرب من 85-95% من جميع الأكياس المستأصلة، وتحولها لورم خبيث نادر للغاية. تم تقدير حدوث سرطان الخلايا الحرشفية الذي ينشأ من كيس احتواء البشرة من 0.011 إلى 0.045%.[5]
الأسباب
تنتج الأكياس الجلدية عادةً عن انغراس البشرة في الأدمة، كما هو الحال في الصدمة أو الجراحة. يمكن أيضًا أن تكون ناجمة عن مسام مسدودة مجاورة لثقب الجسم. تظهر أيضًا في متلازمة گاردنر ومتلازمة سرطانة الخلية القاعدية الوحمانية على الرأس والعنق. يمكن أن تصاب بالبكتريا وتأخذ شكل شبيه بالبثرة.[citation needed]
التشخيص
عادة ما تُشخص التكيسات الجلدية عندما يلاحظ الشخص نتوءًا على جلده ويسعى للحصول على رعاية طبية. يُجرى التشخيص النهائي بعد استئصالها بواسطة أخصائي علم الأمراض بناءً على المظهر المجهري للآفة الكيسية المبطنة للظهارة المتقرنة التي تحتوي على كيراتين مقرن تكلس. يمكن أيضًا رؤيتها على أنها آفات متساوية بواسطة التصوير بالرنين المغناطيسي أو فرط كثافة على FLAIR.
العلاج
يمكن إزالة الأكياس الجلدية بالاستئصال الجراحي.[6]
في حالة الكيسات الجلدية الأمامية - الغربالية ، يبدو أن الاستئصال الجراحي هو الدعامة الأساسية للعلاج؛ ومع ذلك، فإن مدى الاستئصال يتحدد من خلال التصاق كبسولة الورم بالبنى الحيوية المحيطة.[7]
في السابق، كان يوصى باستخدام پروكسيد الهيدروجين جل (H2O2) لعلاج الكيسات، إلا أن ومع ذلك، لا يمكن للجل أن يتخلل الكيسة بشكل كافٍ ولم يثبت فعاليته.[8] لم يعد الأطباء يوصون باستخدام پروكسيد الهيدروجين للعناية بالجروح لأنه يمكن أن يضر بالأنسجة المعافاة.[9]
بالنسبة لثقب الجسم، يُنصح بالعلاج الذاتي باستخدام محلول ملحي ساخن للمساعدة في تصريف الكيسة واستخدام مضاد للبكتيريا أو دواء بودرة التلك للمساعدة في تجفيف النتوء وتقليل تكاثر البكتيريا حتى يمكن الحصول على المشورة الطبية.[10] (لم يعد يُنصح باستخدام التلك بسبب الارتباط المكتشف حديثًا بالعديد من السرطانات.)[citation needed] ومع ذلك، من المرجح أن من يجرون ثقب للجسم يكونون ضحايا للندبات المتضخمة أكثر من كونها كيسات. يبدو أن ثقوب الخد هي الأكثر عرضة للتكيسات بسبب الانقطاع المحتمل لقنوات اللعاب.[citation needed]
معرض الصور
-
كيسة جلدية على مؤخرة العنق.
-
كيسة جلدية على شحمة الأذن.
-
أشعة مقعطية توضح الحجم الكثيف المتجانس (شبيه لكيسة غير محددة).
-
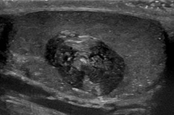
كيس بشري في الخصية بالموجات فوق الصوتية ، مع مظهر مصفح ("قشرة البصلة").
-
المظهر العياني لكيسى داخل الجمجمة تم استئصالها (جراحيًا)، بمظهر لؤلؤي.
-
جراحة لاستئصال كيسة فوق القص، مع إظهار السطح الأملس.
-
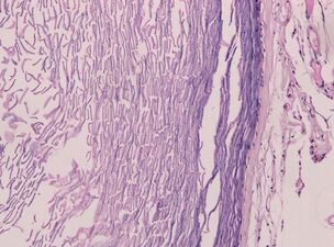
التشريح المرضي، يظهر ظهارة حرشفية طبقية متقرنة، وتجويف يحتوي على رقائق كيراتين.
-
علم التشريح المرضي يظهر ظهارة وكيراتين مصفح (يسار).
انظر أيضاً
- كيسة جلدية داخل الجمجمة
- قائمة الأورام الجلدية المرتبطة بالمتلازمات الجهازية
- Proliferating epidermoid cyst
- كيسة ثؤلولية
المصادر
- ^ "Epidermal inclusion cyst information Diseases Database". www.diseasesdatabase.com (in الإنجليزية). 17 February 2018.
- ^ "cysts - British Association of Dermatologists". Archived from the original on 2008-01-10. Retrieved 2007-11-14.
- ^ Vaginal Surgery for Incontinence and Prolapse. Springer Science & Business Media. 2006. p. 271. ISBN 1852339128. Retrieved March 2, 2018.
{{cite book}}: Cite uses deprecated parameter|authors=(help) - ^ Jehle KS, Shakir AJ, Sayegh ME (2007). "Squamous cell carcinoma arising in an epidermoid cyst". British Journal of Hospital Medicine. 68 (8): 446. doi:10.12968/hmed.2007.68.8.24499. PMID 17847698.
- ^ Frank, Ethan; Macias, David; Hondorp, Brian; Kerstetter, Justin; Inman, Jared C. (2018). "Incidental Squamous Cell Carcinoma in an Epidermal Inclusion Cyst: A Case Report and Review of the Literature". Case Reports in Dermatology (in الإنجليزية). 10 (1): 61–68. doi:10.1159/000487794. ISSN 1662-6567. PMID 29681810.
- ^ "Minimal excision technique for removal of an epidermoid cyst". Am Fam Physician. 65 (7): 1423–4. 2002. PMID 11996427. Archived from the original on 2008-07-06. Retrieved 2007-11-15.
- ^ "Epidermoid Cysts in the Frontal Lobe – A Case Series - Journal of Pioneering Medical Sciences". www.jpmsonline.com. Archived from the original on 27 July 2014. Retrieved 2 April 2018.
- ^ Graziani, F; Vano, M; Tartaro, G; Fanelli, G; Gabriele, M (2003). "The use of hydrogen peroxide in the experimental therapy of cysts. An in vitro analysis". Minerva Stomatologica. 52 (7–8): 373–7, 378–80. PMID 14608258.
- ^ Walsh, L. J. (2000). "Safety issues relating to the use of hydrogen peroxide in dentistry". Australian Dental Journal. 45 (4): 257–69, quiz 289. doi:10.1111/j.1834-7819.2000.tb00261.x. PMID 11225528.
- ^ "Archived copy". Archived from the original on 2014-04-23. Retrieved 2014-04-21.
{{cite web}}: CS1 maint: archived copy as title (link)
وصلات خارجية
| Classification | |
|---|---|
| External resources |
- CS1 errors: deprecated parameters
- الصفحات بخصائص غير محلولة
- Short description is different from Wikidata
- Articles containing إنگليزية-language text
- Pages using Lang-xx templates
- Articles with unsourced statements from March 2017
- Articles with unsourced statements from May 2017
- وحمات وأورام وكيسات
- حالات متعلقة بلواحق الجلد