ورم عضلي
| Leiomyoma | |
|---|---|
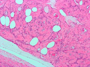
| Uterine lipoleiomyoma, a type of leiomyoma. H&E stain. | |
| التبويب والمصادر الخارجية | |
| التخصص | علم الأورام |
| ICD-10 | D21, D25 (ILDS D21.M40) |
| ICD-9-CM | 218 |
| ICD-O | M8890/0-8894 |
| Patient UK | فشل عرض الخاصية P1461: لم يتم العثور على الخاصية P1461. ورم عضلي |
| MeSH | D007889 |
A leiomyoma (plural is 'leiomyomata') is a benign smooth muscle neoplasm that is not premalignant. They can occur in any organ, but the most common forms occur in the uterus, small bowel and the esophagus.
التسمية

التعريف
Is a benign tumor of the smooth muscle of the uterus
انتشار المرض
Leiomyomas are the commonest benign tumors of the female genital organs
الأسباب
Relative estrogen excess Parity Racial factors Hereditary factors Genetic factors Growth factors
ورم عضلي رحمي
Uterine fibroids are leiomyomata of the uterine smooth muscle. As other leiomyomata, they are benign, but may lead to excessive menstrual bleeding (menorrhagia), often cause anemia and may lead to infertility. Enucleation is removal of fibroids without removing the uterus (hysterectomy), which is also commonly performed. Laser surgery (called myolysis) is increasingly used, and provides a viable alternative to traditional surgeries.
Oral contraceptive pills can be used to decrease excessive menstrual bleeding and pain associated with uterine fibroids. [1]
Uterine leiomyomas originate in the myometrium and are classified by location:
- Submucosal – lie just beneath the endometrium.
- Intramural – lie within the uterine wall.
- Subserosal – lie at the serosal surface of the uterus or may bulge out from the myometrium and can become pedunculated.
A rare form of these tumors is lipoleiomyoma[2].
المرئ
They are also the most common benign esophageal tumour, though this accounts for less than 1% of esophageal neoplasms. The remainder consists mainly of carcinomas. Although the vast majority of benign esophageal tumors are clinically silent and go undetected, large or strategically located tumors may become symptomatic.[3]
جلدي
Leiomyomas of the skin are generally (1) acquired, and (2) divided into several categories[4][5]:
- Solitary cutaneous leiomyoma
- Multiple cutaneous (or pilar) leiomyomas arising from the arrectores pilorum muscles
- Angioleiomyomas (Vascular leiomyomas) that are thought to arise from vascular smooth muscle
- Dartoic (or genital) leiomyomas originating in the dartos muscles of the genitalia, areola, and nipple
- Angiolipoleiomyoma
الأوارم العضلية المعوية
Leiomyoma is the most common benign tumor of small bowel. Approximately 50% of cases are found in the jejunum, followed by the ileum in 31% of cases. Almost one half of all lesions are less than 5 centimeters.[6]
التشخيص
Diagnosis depends on position of the myomas. Traditional Transabdominal or Transvaginal ultrasonogram can detect large submucosal and transmural myomas. For submucosal myomas saline infusion sonography is the best.
العلاج
العلاج الطبي
GnRH agonists for 3–6 months are used to reduce the size of the myomas. It usually reduces the size by 60% to 70%, but once the medication is stopped the myomas will grow back.
العلاج الجراحي
Myomectomy is a choice to remove myomas. It is usually done when the patient wants to preserve their fertility. This can be performed with either traditional surgery or through laparoscopy.
Total Abdominal or Vaginal hysterectomy with Bilateral Salpingo-oophorectomy is the definitive treatment.
معرضص الصور
-
Uterine lipoleiomyoma, a type of leiomyoma. H&E stain.
انظر أيضا
المصادر
- ^ Obstet Gynecol. 2006 Jun;107(6):1453-72.
- ^ Walid MS, Heaton RL (2010). "Case report of a cervical lipoleiomyoma with an incidentally discovered ovarian granulosa cell tumor – imaging and minimal-invasive surgical procedure". GMS Ger Med Sci. 8 (26). doi:10.3205/000115.
- ^ James C. Chou, MD & Frank G. Gress, MD. "Benign Esophageal Tumors". Esophageal Cancer Overview (Cancer of the Esophagus). Armenian Health Network, Health.am. Retrieved 2007-03-21.
{{cite web}}: CS1 maint: multiple names: authors list (link) - ^ Freedberg, et al. (2003). Fitzpatrick's Dermatology in General Medicine. (6th ed.). Page 1033. McGraw-Hill. ISBN 0071380760.
- ^ James, William; Berger, Timothy; Elston, Dirk (2005). Andrews' Diseases of the Skin: Clinical Dermatology. (10th ed.). Saunders. ISBN 0721629210.
- ^ By Michael P. Buetow, M.D. "Leiomyoma of Jejunum". Applied Radiology Online. Retrieved 2007-03-21.
- Merck Manual: Uterine fibroids
- Esophageal Leiomyoma
- Atlas of Pathology uterine leimyoma
وصلات خارجية
- humpath #4835 (Pathology images)
- Laser myomectomy
- Laparoscopic myomectomy.